|
|
>
Portfolio >
Materalien
|
|
|
 |
Materialien
Metallfreie Restaurationen haben sich in den letzten Jahrzehnten etabliert. Sie sind ästhetisch, biokompartibel und natürlich. Besonders der Bereich der Vollkeramik bietet hierfür ein enormes Potential an verschiedenen Materialien. Nicht jeder Patient und jeder Patientenfall ist gleich, deshalb benötigt man zum Lösen hochästhetischer Aufgaben einen Materialmix. Nicht viele CAD/CAM Systeme können dieser praktischen Anforderung gerecht werden. Wir arbeiten mit dem CAD/CAM System der Firma Detnsply Sirona und haben somit die größte Materialauswahl am Markt. Als Erprober von Materialien haben wir auch den größtmöglichsten Einblick in die Materialwelt. Unser Personal ist bestmöglichst auf die Vielfälltigen Materialklassen geschult. Ob Feldspatkeramik, Glaskeramik, verstärkte Glaskeramiken, Hybritkeramiken, Infiltartions- oder Oxidkeramik - Sie finden bei uns immer einen kompetenten Partner. Sprechen Sie mit uns über die vielfälltigen Möglichkeiten der CAD/CAM Materialien.
Folgende Materialien bieten wir Ihnen an:
CEREC Blocs Feldspatkeramik
[Befestigungstipp]
Inlays, Onlays, Table Tops, Veneers, Teilkronen, Einzelkronen, Implantatkronen
SiO2 56-64% / Al2O3 20-23% / Na2O 6-9% / K2O 6-8% / CaO 0,3-0,6% / TiO2 0,0-0,1%
CERCEC Blocs PC multifarbene Feldspatkeramik
[Befestigungstipp]
Inlays, Onlays, Table Tops, Veneers, Teilkronen, Einzelkronen, Implantatkronen, Verblendung bei Multilayer
SiO2 56-64% / Al2O3 20-23% / Na2O 6-9% / K2O 6-8% / CaO 0,3-0,6% / TiO2 0,0-0,1%
CERCEC Blocs C In 3D Kern Silikatkeramik
[Befestigungstipp]
Frontzahn Einzelkronen, Frontzahn Implantatkronen
SiO2 55-65% / Al2O3 17-24% / Na2O 5-9% / K2O 7-11% / B2O3 0-2%
CELTRA DUO ZLS zirkondioxid verstärkte Silikatglaskeramik
[Befestigungstipp]
Inlays, Onlays, Table Tops, Veneers, Teilkronen, Einzelkronen, Implantatkronen
SiO2 56–64% / Li2O 15–21% / K2O 1–4% / P2O5 3–8% / Al2O3 1–4% / ZrO2 8–12% / CeO2 0–4% / Pigmente 0–6%
InCoris ZI Zirkonoxid
[Befestigungstipp]
Kronen, Brücken 14 gliedrig mit jeweils bis zu 2 zusammenhängenden Zwischengliedern, Abutments, Gechiebe, Teleskope, Stege
ZrO2+HfO2+Y2O2 >99,0% / Al2O3 <0,5% / Andere Oxide <0,5%
InCoris TZI transluzentes Zirkonoxid
[Befestigungstipp]
Kronen, Brücken 14 gliedrig mit jeweils bis zu 2 zusammenhängenden Zwischengliedern
ZrO2+HfO2+Y2O2 >99,0% / Y2O3 4.5-6.0% / Al2O3 <0,5% / Andere Oxide <0,5%
InCoris TZI C transluzentes voreingefärbtes Zirkonoxid
[Befestigungstipp]
Kronen, Brücken 14 gliedrig mit jeweils bis zu 2 zusammenhängenden Zwischengliedern
ZrO2+HfO2+Y2O2 >99,0% / Y2O3 4.5-6.0% / Al2O3 <0,5% / Andere Oxide <0,5%
CEREC Zirkonia Meso C transluzentes voreingefärbtes Zirkonoxid
[Verklebungstipp]
Abutmentkronen auf TiBase Einzelkronen
ZrO2+HfO2+Y2O2 >99,0% / Y2O3 4.5-6.0% / Al2O3 <0,5% / Andere Oxide <0,5%
Cercon HT transluzentes Zirkonoxid
[Befestigungstipp]
Kronen, Brücken 14 gliedrig mit jeweils bis zu 2 zusammenhängenden Zwischengliedern
ZrO2+HfO2+Y2O2 >99,0% / Y2O3 5% / HfO2 <3 % / Andere Oxide <1%
Cercon XT transluzentes voreingefärbtes Zirkonoxid
[Befestigungstipp]
Kronen, Brücken 3 gliedrig bis zum Prämolarenbereich
ZrO2+HfO2+Y2O2 >99,0% / Y2O3 9% / HfO2 <3 % / Andere Oxide <1%
InCoris CCB SinterNEM
[Befestigungstipp]
Kronen, Brücken 14 gliedrig mit jeweils bis zu 2 zusammenhängenden Zwischengliedern, Gechiebe, Teleskope, Stege
Co 63,3% / Cr 28,5% / Mo 6,0% / Mn < 0,8% / Si < 0,8% / Fe < 0,3%
InCoris Modell Kunststoff
Modelle
Polyurethan
Link zum Hersteller
*Angaben lauf Herstellung in Gew.%
Mark II Feldspatkeramik
[Befestigungstipp]
Inlays, Onlays, Table Tops, Veneers, Teilkronen, Einzelkronen, Implantatkronen
SiO2 56-64% / Al2O3 20-23% / Na2O 6-9% / K2O 6-8% / CaO 0,3-0,6% / TiO2 0,0-0,1%
TriLux forte Feldspatkeramik
[Befestigungstipp]
Inlays, Onlays, Table Tops, Veneers, Teilkronen, Einzelkronen, Implantatkronen, Verblendung bei Rapid Layer
SiO2 56-64% / Al2O3 20-23% / Na2O 6-9% / K2O 6-8% / CaO 0,3-0,6% / TiO2 0,0-0,1%
Real Life Feldspatkeramik mit 3D Dentinkern
[Befestigungstipp]
Frontzahn-/Prämolarenkronen, Frontzahn-/Prämolaren Implantatkronen
SiO2 56-64% / Al2O3 20-23% / Na2O 6-9% / K2O 6-8% / CaO 0,3-0,6% / TiO2 0,0-0,1%
ENAMIC Hybridkeramik mit dualem Netzwerk
[Befestigungstipp]
Zahnhalsinlays, Inlays, Onlays, Table Tops, Veneers, Teilkronen, Einzelkronen
SiO2 58-63% / Al2O3 20-23% / Na2O 9-11% / K2O 4-6% / B2O3 0,5-2% / ZrO2 < 1% / KaO < 1%
ENAMIC multicolor Hybridkeramik mit dualem Netzwerk
[Befestigungstipp]
Zahnhalsinlays, Inlays, Onlays, Table Tops, Veneers, Teilkronen, Einzelkronen
SiO2 58-63% / Al2O3 20-23% / Na2O 9-11% / K2O 4-6% / B2O3 0,5-2% / ZrO2 < 1% / KaO < 1%
SUPRINITY PC ZLS zirkondioxid verstärkte Silikatglaskeramik
[Befestigungstipp]
Inlays, Onlays, Table Tops, Veneers, Teilkronen, Einzelkronen, Implantatkronen, Abutments
SiO2 56–64% / Li2O 15–21% / K2O 1–4% / P2O5 3–8% / Al2O3 1–4% / ZrO2 8–12% / CeO2 0–4% / Pigmente 0–6%
VITA Disc YZ T Zirkondioxid
[Befestigungstipp]
Kronen, Brücken 14 gliedrig mit jeweils bis zu 2 zusammenhängenden Zwischengliedern, Abutments, Gechiebe, Teleskope, Stege
ZrO2 90,9-94,5% / Y2O3 4-6% / HfO2 1,5-2,5% / Al2O3 0-0,3% / Fe2O3 0-0,3%
VITA Disc YZ HT transluzentes voreingefärbtes Zirkondioxid
[Befestigungstipp]
vollanatomische und kombiniert verblendbare Kronen, Brücken 14 gliedrig mit jeweils 2 zusammenhängenden Zwischengliedern
ZrO2 90,9-94,5% / Y2O3 4-6% / HfO2 1,5-2,5% / Al2O3 0-0,3% / Er2O3 0-0,5% / Fe2O3 0-0,3%
CAD Waxx rückstandslos verbrennbarer Kunststoff
für jegliche Konstruktionen zum Einbetten und Gießen, Implantatschlüssel, Bohrschablonen
Acrylpolymer 100%
CAD-Temp monoColor Kunststoff für Provisorien
[Befestigungstipp als Provisorium]
Kronen, Brücken 14 gliedrig mit jeweils bis zu 2 zusammenhängenden Zwischengliedern
PMMA 83-86% / SiO2 14-15% / Pigments < 0,1%
CAD-Temp multiColor Kunststoff für multifarbene Provisorien
[Befestigungstipp als Provisorium]
Kronen, Brücken 14 gliedrig mit jeweils bis zu 2 zusammenhängenden Zwischengliedern
PMMA 83-86% / SiO2 14-15% / Pigments < 0,1%
VITA Implantat Solutions
ENAMIC IS Hybridkeramik mit dualem Netzwerk direkt für Mesostruckturen
[Verklebungstipp]
Implantatkronen, Abutments
SiO2 58-63% / Al2O3 20-23% / Na2O 9-11% / K2O 4-6% / B2O3 0,5-2% / ZrO2 < 1% / KaO < 1%
CAD-Temp IS Kunststoff für Provisorien
[Verklebungstipp]
provisorische Implantatkronen, Gingivaformer
PMMA 83-86% / SiO2 14-15% / Pigments < 0,1%
Link zum Hersteller
*Angaben lauf Herstellung in Gew.%
IPS Empress CAD Multi multifarbene Silikatkeramik
[Befestigungstipp]
Inlays, Onlays, Table Tops, Veneers, Teilkronen, Einzelkronen, Implantatkronen
SiO2+BaO+Al2O3+CaO+CeO2+Na2O+K2O+B2O3> 98% / TiO2 und Pigments < 2%
IPS e.max CAD Lithium Disilikat Glaskeramik
[Befestigungstipp]
Inlays, Onlays, Table Tops, Veneers, Teilkronen, Einzelkronen, Implantatkronen
SiO2 57,0-80,0%/Li2O 11,0-19,0%/K2O 9,0-13,0%/P2O5 0,0-11,0%/ZrO2 0,0-8,0%/ZnO 0,0-8,0%/andere Oxide 0,0-12,0%
Link zum Hersteller
*Angaben lauf Herstellung in Gew.%
Pritidenta Extratransluzent transluzentes Zirkondioxid
[Befestigungstipp]
vollanatomische und kombiniert verblendbare Kronen, Brücken 14 gliedrig mit jeweils 2 zusammenhängenden Zwischengliedern
ZrO2+HfO2 92,1 - 90,7 % / Y2O3 6,65 – 7,95 % / Al2O3 < 0,2 % / andere Oxide < 0,7%
Pritidenta Hochtransluzent transluzentes Zirkondioxid
[Befestigungstipp]
vollanatomische und kombiniert verblendbare Kronen, Brücken 3 gliedrig FZ bis einschließlich Prämolaren
ZrO2+HfO2 89,89 - 90,7 % / Y2O3 8,55 - 10,11 % / Al2O3 < 0,2 % / andere Oxide < 0,7%
Link zum Hersteller
*Angaben lauf Herstellung in Gew.%
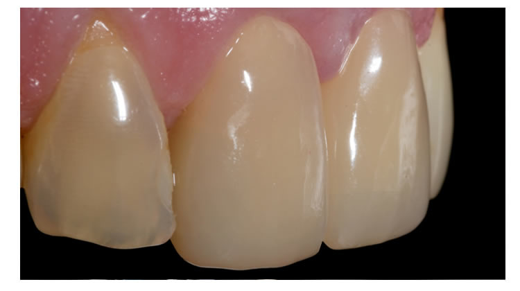
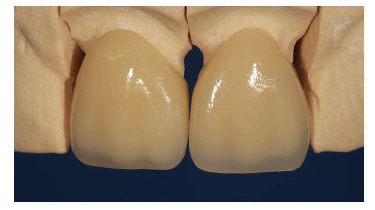
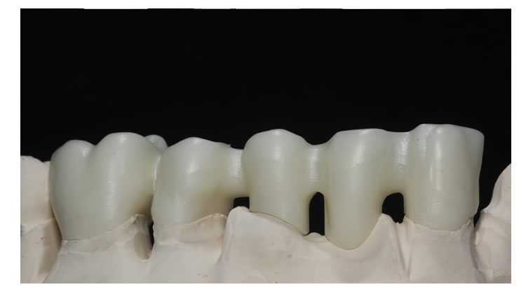
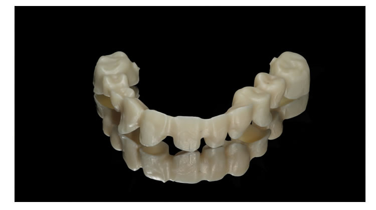
Praxisbeispiele:
slidepics
|
|
|
 |
|