Bridgebase Versorgungen

BridgeBase Suprakonstuktionen / Versorgungen

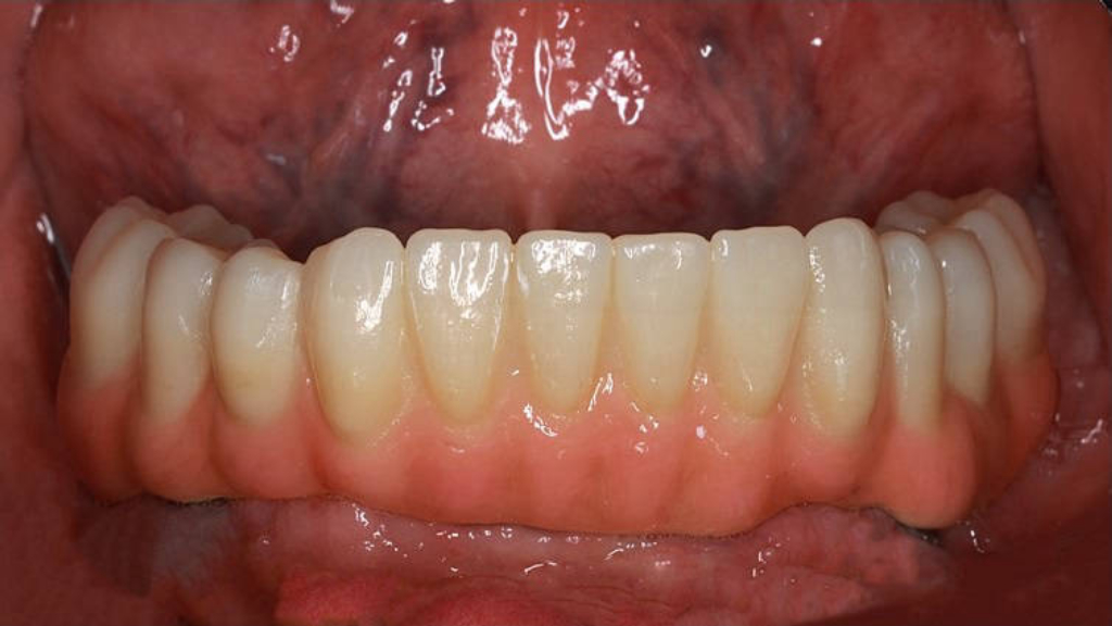
Die BridgeBase ist eine aktuelle Versorgungsart von Atlantis. Der komplette Workflow kann digital ohne jegliche Modelle mit der Primescan erfolgen. Klingt interessant und ist es auch, da diese Versorgung einige Schwachstellen der Vergangenheit löst. Der Scan erfolgt mit der Primescan, danach die Implantatplanung, Setzung, Ausheilung. Es folgt der erneute erneute Scan mit der Primescan, die Fertigung der BridgeBase bei Atlantis, das Provi und die endgültige Fertigstellung, Alles digital, zertifiziert und ohne jegliche Modelle ... Wir machen das.

Suprakonstrucktionen auf BridgeBase

BridgeBase2

Für Fragen zu diesem Thema wenden Sie sich vertrauensvoll an uns.
Von Mo-Fr. von 07.°°-18.°° Uhr
unter:
+49 (0)3737 - 4 25 87

oder sie schreiben uns unter:
post@sofg.de

Adresse

  • Zahntechnik
    Kerstin Straßburger / sofg.de
    Noßwitzer Weg 1
    D-09306 Rochlitz

Feedback

  • Bitte senden Sie uns Ihre Anregungen über den Kontakt. Wir freuen uns auf Ihrer Meinung, Anregungen und Tipps.